Skip to main content English

Computational Imaging Research Lab | Research

Research at CIR is grouped around several intersecting research lines. 

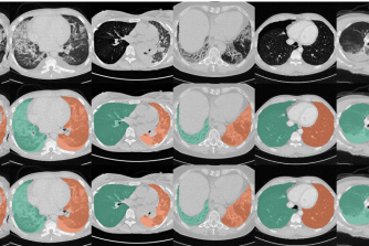
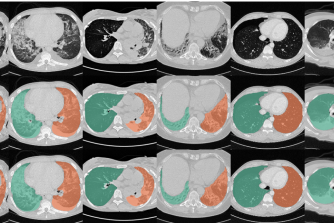
Lung imaging

We are investigating machine learning approaches to analyse lung imaging data ranging from prediction models to unsupervised techniques to identify phenotypes in large scale populations.

More

Fetal development

We are studying fetal brain development based on in-utero magnetic resonance imaging data with a focus on modelling structural- and functional changes during gestation.

More

Neuroimaging

We are mapping the functional organisation of the human brain based on functional magnetic resonance imaging (fMRI) in healthy as well as diseased adults.

More

Anomaly detection and unsupervised learning

Identifying anomalies is a way to expand the vocabulary of imaging markers, we can use for diagnosis and prediction. We are studying approaches based on generative deep learning models to detect anomalies, and to translate them into disease markers. 

More

Image credits: MUW/Johannes Hofmanninger, MUW/Athena Taymourtash, MUW/Georg Langs, MUW/Georg Langs